Implanty zębowe w Warszawie cieszą się rosnącą popularnością, a ich zalety przyciągają coraz więcej pacjentów. Przede wszystkim, implanty oferują trwałe rozwiązanie dla osób, które straciły zęby. W przeciwieństwie do tradycyjnych protez, które mogą być niewygodne i wymagać częstej wymiany, implanty są osadzone w kości szczęki, co zapewnia stabilność i naturalny wygląd. Dzięki temu pacjenci mogą cieszyć się pełną funkcjonalnością zębów, co pozwala na swobodne jedzenie i mówienie. Kolejną istotną zaletą jest estetyka. Implanty są projektowane tak, aby idealnie pasowały do naturalnych zębów pacjenta, co sprawia, że uśmiech staje się bardziej atrakcyjny. Dodatkowo, implanty pomagają w zachowaniu struktury kości szczęki, co jest kluczowe dla zdrowia jamy ustnej.
Jak przebiega proces zakupu implantów zębowych w Warszawie

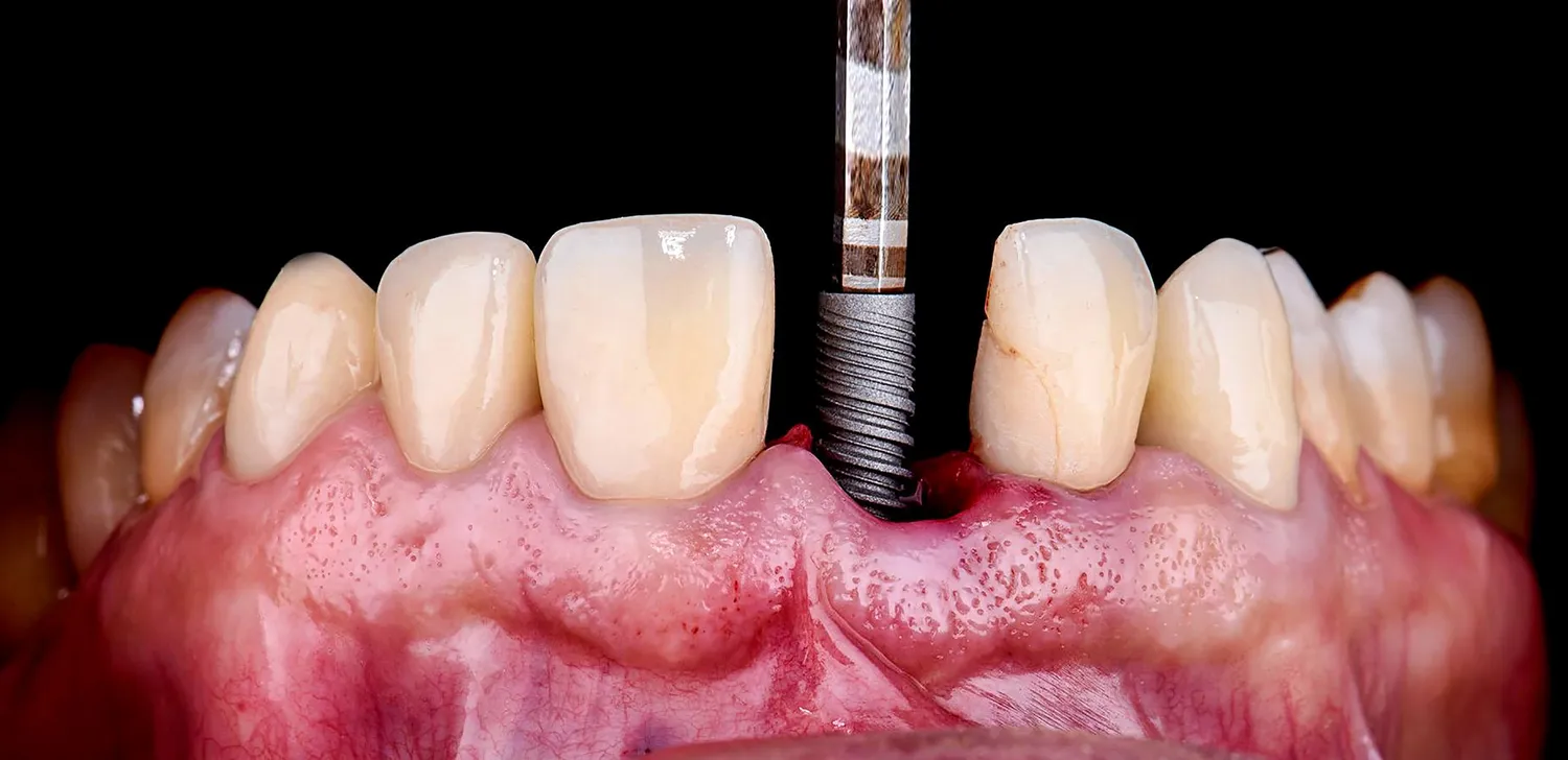
Proces zakupu implantów zębowych w Warszawie zaczyna się od wizyty u stomatologa, który oceni stan zdrowia jamy ustnej pacjenta oraz zdecyduje o możliwości wszczepienia implantu. W trakcie pierwszej konsultacji lekarz przeprowadza dokładne badania diagnostyczne, takie jak zdjęcia rentgenowskie czy tomografia komputerowa, aby określić warunki anatomiczne oraz stan kości. Po pozytywnej ocenie można przystąpić do planowania zabiegu. Kolejnym krokiem jest wybór odpowiednich materiałów oraz typów implantów, które najlepiej odpowiadają potrzebom pacjenta. W Warszawie dostępne są różnorodne opcje, co pozwala na dostosowanie leczenia do indywidualnych preferencji. Sam zabieg wszczepienia implantu odbywa się w znieczuleniu miejscowym i trwa zazwyczaj od jednej do dwóch godzin.
Jakie są koszty związane z implantami zębowymi w Warszawie
Koszty związane z implantami zębowymi w Warszawie mogą się znacznie różnić w zależności od wielu czynników. Przede wszystkim cena uzależniona jest od rodzaju implantu oraz materiału, z którego został wykonany. Na rynku dostępne są zarówno tańsze opcje, jak i droższe rozwiązania premium. Dodatkowo, koszt może być wyższy w przypadku konieczności przeprowadzenia dodatkowych zabiegów, takich jak augmentacja kości czy sinus lifting. Warto również zwrócić uwagę na to, że wiele klinik stomatologicznych oferuje różne formy finansowania oraz promocje, co może znacząco wpłynąć na ostateczny koszt leczenia. Przy wyborze kliniki warto kierować się nie tylko ceną, ale także jakością usług oraz doświadczeniem specjalistów.
Jakie są opinie pacjentów o implantach zębowych w Warszawie
Opinie pacjentów o implantach zębowych w Warszawie są przeważnie pozytywne i świadczą o wysokiej jakości usług stomatologicznych oferowanych w tym mieście. Wielu pacjentów podkreśla komfort oraz estetykę uzyskanych efektów po zabiegu wszczepienia implantu. Osoby, które zdecydowały się na ten krok często zauważają znaczną poprawę jakości życia – możliwość jedzenia ulubionych potraw bez obaw o dyskomfort czy niemożność mówienia bez zakłóceń to dla wielu ogromna zmiana na lepsze. Pacjenci chwalą również profesjonalizm lekarzy oraz personelu medycznego w warszawskich klinikach stomatologicznych. Często podkreślają oni indywidualne podejście do każdego przypadku oraz szczegółowe wyjaśnienia dotyczące całego procesu leczenia.
Jakie są najczęstsze pytania dotyczące implantów zębowych w Warszawie
Wiele osób, które rozważają wszczepienie implantów zębowych w Warszawie, ma wiele pytań dotyczących tego procesu. Jednym z najczęściej zadawanych pytań jest to, jak długo trwa cały proces leczenia. Zazwyczaj od momentu pierwszej konsultacji do zakończenia leczenia może minąć kilka miesięcy, ponieważ implanty wymagają czasu na integrację z kością. Kolejnym istotnym pytaniem jest to, czy zabieg jest bolesny. Warto zaznaczyć, że zabieg przeprowadzany jest w znieczuleniu miejscowym, co znacznie minimalizuje dyskomfort. Pacjenci często pytają także o to, jak długo mogą cieszyć się efektami implantów. Przy odpowiedniej pielęgnacji i regularnych wizytach kontrolnych implanty mogą służyć przez wiele lat, a niektórzy pacjenci korzystają z nich nawet przez całe życie. Inne pytania dotyczą materiałów używanych do produkcji implantów oraz ich biokompatybilności. Warto podkreślić, że nowoczesne implanty wykonane są z wysokiej jakości tytanu, który jest dobrze tolerowany przez organizm ludzki.
Jakie są różnice między implantami a tradycyjnymi protezami w Warszawie
Różnice między implantami a tradycyjnymi protezami są znaczące i mają kluczowe znaczenie dla pacjentów decydujących się na leczenie stomatologiczne w Warszawie. Przede wszystkim, implanty są trwale osadzone w kości szczęki, co zapewnia im stabilność i naturalny wygląd. W przeciwieństwie do protez, które mogą przesuwać się w jamie ustnej i powodować dyskomfort podczas jedzenia czy mówienia, implanty działają jak naturalne zęby. Dodatkowo, implanty wspierają strukturę kości szczęki, co zapobiega jej zanikaniu po utracie zębów. Protezy natomiast mogą wymagać częstej regulacji oraz wymiany ze względu na zużycie materiału lub zmiany w jamie ustnej pacjenta. Koszt implantów jest wyższy niż tradycyjnych protez, jednak inwestycja ta przynosi długoterminowe korzyści zdrowotne oraz estetyczne.
Jakie nowoczesne technologie stosowane są przy wszczepianiu implantów w Warszawie
Nowoczesne technologie stosowane przy wszczepianiu implantów w Warszawie znacznie poprawiają komfort i efektywność zabiegów stomatologicznych. Jednym z najważniejszych osiągnięć jest wykorzystanie tomografii komputerowej do precyzyjnego planowania zabiegu. Dzięki temu lekarze mogą dokładnie ocenić warunki anatomiczne pacjenta oraz zaplanować optymalne umiejscowienie implantu. Kolejną innowacją jest zastosowanie technologii CAD/CAM do tworzenia indywidualnych koron protetycznych, które idealnie pasują do kształtu i koloru naturalnych zębów pacjenta. Dzięki temu efekt końcowy jest bardziej estetyczny i naturalny. W Warszawie coraz częściej stosuje się również techniki minimalnie inwazyjne, które pozwalają na zmniejszenie bólu oraz szybszą rekonwalescencję po zabiegu. Dodatkowo, niektóre kliniki oferują możliwość użycia znieczulenia komputerowego, które zwiększa komfort pacjenta podczas wszczepiania implantu.
Jak dbać o zdrowie jamy ustnej po wszczepieniu implantów w Warszawie
Dbanie o zdrowie jamy ustnej po wszczepieniu implantów w Warszawie jest kluczowe dla zapewnienia ich długotrwałej funkcjonalności oraz estetyki. Po zabiegu ważne jest przestrzeganie zaleceń lekarza dotyczących higieny jamy ustnej oraz diety. Pacjenci powinni unikać twardych pokarmów przez kilka dni po zabiegu oraz stosować delikatne środki czyszczące do mycia zębów wokół implantu. Regularne szczotkowanie i nitkowanie są niezbędne do usuwania płytki nazębnej oraz resztek pokarmowych gromadzących się wokół implantu. Należy również pamiętać o regularnych wizytach kontrolnych u stomatologa, który oceni stan zdrowia jamy ustnej oraz przeprowadzi profesjonalne czyszczenie. Warto zwrócić uwagę na to, że palenie tytoniu może negatywnie wpłynąć na proces gojenia się implantu oraz jego trwałość, dlatego zaleca się ograniczenie lub całkowite zaprzestanie palenia po zabiegu.
Jakie są najnowsze trendy w dziedzinie implantologii w Warszawie
Najnowsze trendy w dziedzinie implantologii w Warszawie koncentrują się na innowacyjnych rozwiązaniach technologicznych oraz podejściu holistycznym do zdrowia pacjentów. Coraz większą popularnością cieszą się techniki regeneracyjne, takie jak zastosowanie komórek macierzystych czy biomateriałów wspomagających gojenie kości po wszczepieniu implantu. Dzięki tym nowoczesnym metodom możliwe jest osiągnięcie lepszych rezultatów estetycznych oraz funkcjonalnych. Kolejnym trendem jest personalizacja leczenia – lekarze coraz częściej dostosowują plany terapeutyczne do indywidualnych potrzeb pacjentów, co pozwala na uzyskanie optymalnych efektów leczenia. W Warszawie rośnie również zainteresowanie cyfrowymi rozwiązaniami w planowaniu zabiegów – skanery 3D umożliwiają dokładniejsze odwzorowanie struktury jamy ustnej pacjenta oraz precyzyjne umiejscowienie implantu. Dodatkowo, rozwija się także telemedycyna – pacjenci mogą korzystać z konsultacji online oraz monitorować postępy leczenia bez konieczności osobistego stawienia się w klinice.
Jak znaleźć najlepszą klinikę stomatologiczną oferującą implanty w Warszawie
Aby znaleźć najlepszą klinikę stomatologiczną oferującą implanty w Warszawie, warto zwrócić uwagę na kilka kluczowych aspektów. Przede wszystkim należy sprawdzić kwalifikacje i doświadczenie lekarzy specjalizujących się w implantologii – im więcej lat praktyki mają specjaliści, tym większa szansa na wysoką jakość usług. Ważnym elementem jest również wyposażenie kliniki – nowoczesny sprzęt medyczny oraz dostęp do innowacyjnych technologii mogą znacząco wpłynąć na efektywność zabiegów oraz komfort pacjentów. Opinie innych pacjentów to kolejny istotny czynnik – warto poszukać recenzji online lub zapytać znajomych o ich doświadczenia związane z konkretnymi klinikami. Dobrze jest również zwrócić uwagę na ofertę cenową – choć cena nie powinna być jedynym kryterium wyboru, warto porównywać koszty różnych usług i sprawdzić dostępność ewentualnych promocji czy programów lojalnościowych dla pacjentów.
Jakie są najczęstsze powikłania po wszczepieniu implantów w Warszawie
Najczęstsze powikłania po wszczepieniu implantów w Warszawie, choć rzadkie, mogą wystąpić i warto być ich świadomym przed podjęciem decyzji o leczeniu. Jednym z najczęściej zgłaszanych problemów jest infekcja w okolicy implantu, która może prowadzić do stanu zapalnego oraz bólu. Dlatego tak istotne jest przestrzeganie zasad higieny jamy ustnej oraz stosowanie się do zaleceń lekarza po zabiegu. Inne potencjalne powikłanie to nieprawidłowa integracja implantu z kością, co może skutkować jego odrzuceniem. W takich przypadkach konieczne może być usunięcie implantu oraz przeprowadzenie dodatkowych zabiegów regeneracyjnych. Pacjenci mogą również doświadczać dyskomfortu lub bólu w okolicy implantu, co często jest związane z indywidualną reakcją organizmu na materiał implantacyjny. Warto zaznaczyć, że odpowiednia kwalifikacja pacjenta oraz staranna ocena stanu zdrowia przed zabiegiem znacznie minimalizują ryzyko wystąpienia powikłań.




